青葉脳画像データベース「脳の加齢変化を探す」
加齢医学研究所・所長 福田寛
人が年を重ねると脳はどのように変わってゆくのでしょうか。この疑問への答え探しを、私たちは健康な脳のMRI断層画像を集め、大きなデータベースを作ることから始めました。なぜなら、病院では病気の人の脳画像を目にする機会はたくさんあるのですが、健康な人のものとなるとほとんどありません。そのため、脳の形の違いが病気のためなのか、加齢によるものなのか区別できませんでした。そこで健康な脳の画像をたくさん集め、健康な脳の形を調べ、病気の脳と比べてみる必要があったのです。こうして集めた、脳の形をいろいろな部分について測り、平均することで健康な脳の平均的な加齢変化の様子がだんだんと見えてきました。
▼画像をクリックすると、別ウィンドウで大きな画像を見ることができます
 |
 |
|
日本人標準脳画像:男
|
日本人標準脳画像:女 |
萎縮する灰白質
大脳を輪切りにした標本を見てみると、脳のいちばん表面にあるのが大脳皮質で、灰色に見える部分が灰白質で神経細胞のあつまりです。その内側に白く見える部分(白質)があり、神経細胞同士をつなぐ神経繊維の束が走っている場所です。さらにその内側には「脳室」といって脳脊髄液という水がたまっている場所があります。
MRI断層画像で白く見える領域は脳脊髄液腔で、液体に満たされた領域です。灰色に見える領域が脳実質です。年をとっていくと、まず脳の表面にある溝が開き、それから脳室が広がってきます。これは脳全体が萎縮することによって起きています。
脳の変化を詳しくグラフに描いてみてみると、灰白質と白質の割合が年齢とともに減少するようすから、萎縮は主に灰白質で起きており、白質は萎縮していないことが分かります。つまり、年齢とともに灰白質の神経細胞の数は減少するけれど、白質の神経細胞を結ぶネットワークは減少していないのです。
加齢による脳の萎縮の場所による違いが分かるように色分けしてみると、前頭葉やシルビウス裂付近の側頭葉で強い萎縮が起きていることが分かります。神経細胞が減ると認知など、脳が情報を処理する能力が衰えます。年をとると物覚えが悪くなることは、残念ながら、健康であっても誰にでも起こる正常な加齢変化といえます。しかし、ネットワークが減らないことは、情報の使い方は衰えないことを意味するのかも知れません。
 |
|
特に前頭葉と側頭葉が加齢によって強く萎縮します。
図の上が頭、右から左へ頭頂から順に脳の水平断面を並べています。
黄色に見えるところが、より萎縮の進んでいるところ
|
 |
|
年齢と共に灰白質の割合が小さくなり、灰白質が萎縮しています。 |
老化を防ぐ
年とともに脳が萎縮していくことは防ぐことができません。しかし、ひとりひとりに注目してみると、灰白質の減り方は人によって様々なことがわかります。つまり、平均よりも急激に減る人もいれば、緩やかな人もいます。そういった減り方の違いはどこからくるのでしょうか。私たちは、灰白質の萎縮の遅い人に共通する条件を探すことで、記憶の減退などの脳の老化を遅らせる方法を見つけることができると考えています。
収縮期血圧(値が大きい方)が高くなると、後頭葉に黄色で示した小さな場所に萎縮が見つかります。飲酒も脳萎縮の原因になっているようです。飲酒量が多い人ほど、前頭葉上部の中前頭回と呼ばれる場所に大きな萎縮が見つかります。
▼画像をクリックすると、別ウィンドウで大きな画像を見ることができます
 |
収縮期血圧(高いほうの血圧)が高くなると、後頭葉が萎縮しやすい。黄色に見えるところが、より萎縮の進んでいるところ
|
 |
|
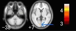
お酒をたくさん飲むと、前頭葉上部が萎縮します(数字は脳断面のレベル)黄色に見えるところが、より萎縮の進んでいるところ
|
うつ病を防ぐ
うつ病は老年期に多い病気のひとつで、憂うつな気分になり、何もする気がなくなるのが主な症状ですが、自発性がなく、他人に対して無関心となるなど、痴呆と紛らわしい症状も見られます。うつ病は加齢とともに増加する傾向がありますが、それに伴って、うつ病予備軍といえる人も増えてきます。実際に、このような人の断層画像を標準脳画像と比べてみると、うつ病患者と同じ前頭葉で萎縮が起きていることが分かりました。閾値下うつ病の人では、両側上前頭回と中心前回で萎縮が見つかります。私たちはMRIをじょうずに使うことで老人性うつ病の早期診断ができると考えています。
 |
|
閾値下うつ病になると、前頭葉に萎縮が現れます。黄色に見えるところが、より萎縮の進んでいるところ
|
|